1 Attachment(s)
Sawed the end of my finger off
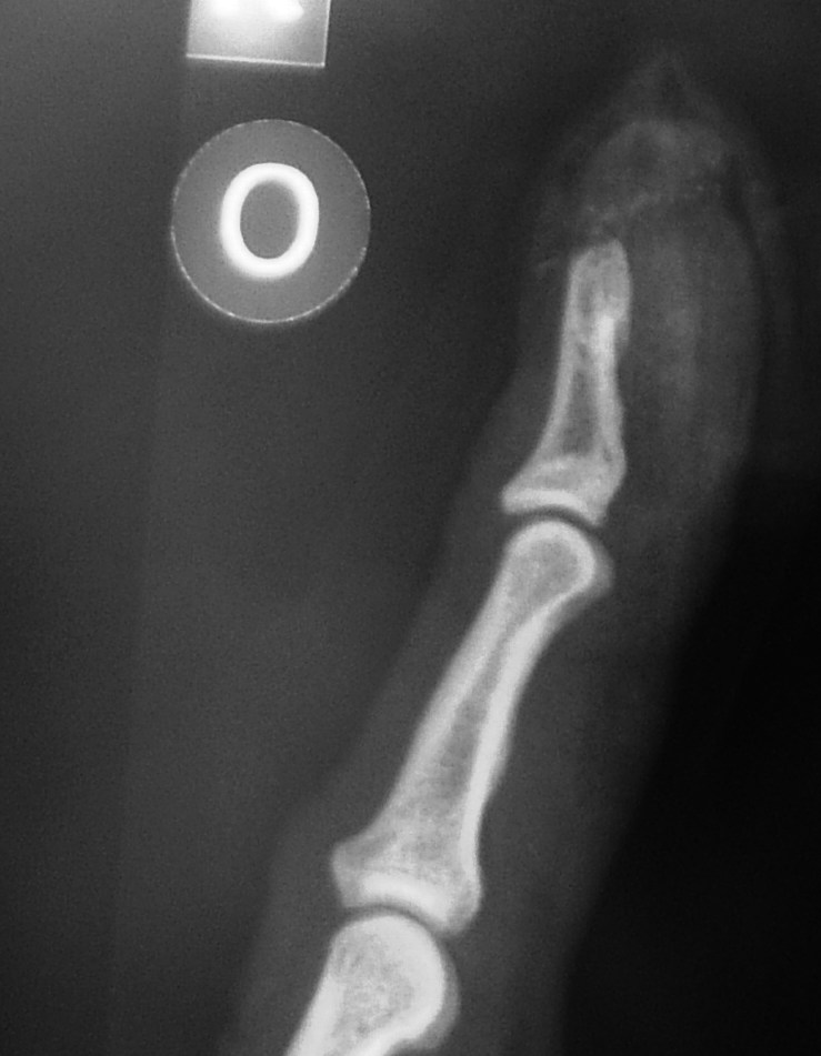
I noticed that the little wire wheel that knocks the swarf off the big bandsaw blade wasn't going round, tried to give it a flick and got sucked in to the machinery.
Saw the plastic surgeon today, he spent 20 minutes removing the swarf, popped what was left of the nail off and then stitched it back together right as dodgers. Looks a lot better now the gore has gone.
I may yet lose the tip but the worry is I nicked the end off the bone which may become infected. The most amazing thing though is, so far, the only painful bit has been the Lignocaine injections :heehee:
Attachment 2321
Re: Sawed the end of my finger off
:eek:Too much information:rolleyes:
Hope it heals OK...
Re: Sawed the end of my finger off
Quote:
Originally Posted by
Robin Hewitt
I may yet lose the tip but the worry is I nicked the end off the bone which may become infected. The most amazing thing though is, so far, the only painful bit has been the Lignocaine injections :heehee:
Attachment 2321
Just wait a while and it will hurt like hell.
Re: Sawed the end of my finger off
If there ever was a time for pics, this is it.:eek:
Re: Sawed the end of my finger off
Quote:
Originally Posted by
i2i
If there ever was a time for pics, this is it.:eek:
I did duck out for a fag at Eastbourne General and found a camera in my car. A bit out of focus being taken left handed without my specs, but it is available.
OTOH Irving sounds a bit squeamish :naughty:
regards
Lefty
Re: Sawed the end of my finger off
you can't beat a bit of gore.
many years ago i helped a "friend" cut a few branches off a very large tree with a massive chainsaw. Despite his renowned stupidy everything went without a hiccup, until we had to cut up the fallen branches, needless to say it was me that ended up with the damage. Somehow he thought it would be better to cut under a branch rather than the top which was away from my hand, and yes you guessed it, he caught the edge of my index finger while i was steadying the branch. If it wasn't for my quick reactions he may well have cut my hand off. As it goes he made a fair mess of my finger, which to be honest doesn't look that bad now.
If there's a moral to this, it's, don't work with morons.
Re: Sawed the end of my finger off
Quote:
Originally Posted by
Robin Hewitt
I noticed that the little wire wheel that knocks the swarf off the big bandsaw blade wasn't going round, tried to give it a flick and got sucked in to the machinery.
Saw the plastic surgeon today, he spent 20 minutes removing the swarf, popped what was left of the nail off and then stitched it back together right as dodgers. Looks a lot better now the gore has gone.
I may yet lose the tip but the worry is I nicked the end off the bone which may become infected. The most amazing thing though is, so far, the only painful bit has been the Lignocaine injections :heehee:
Attachment 2321
Clumsy Bastard........................
.
2 Attachment(s)
Re: Sawed the end of my finger off
Quote:
Originally Posted by
Robin Hewitt
OTOH Irving sounds a bit squeamish :naughty:
Only with other people's gore... Im ok with my own...
See attached... after I'd been knocked off bike and broke collar bone in 4 places (and 2 ribs and taken all the skin off fingertips - but it grew back OK). Didnt hurt too much but the grating sounds when I moved were a bit OTT... :surprised:
Attachment 2325Attachment 2326
1 Attachment(s)
Re: Sawed the end of my finger off
I see from the xray that you swallowed your wedding ring to stop the paramedics pinching it lol
Re: Sawed the end of my finger off
lol, yes took us a long time to work that out... its the zipper on my cycling top... despite being plastic it sems to be opaque to xrays