Thread: Sawed the end of my finger off
Hybrid View
-
20-06-2010 #1
I noticed that the little wire wheel that knocks the swarf off the big bandsaw blade wasn't going round, tried to give it a flick and got sucked in to the machinery.
Saw the plastic surgeon today, he spent 20 minutes removing the swarf, popped what was left of the nail off and then stitched it back together right as dodgers. Looks a lot better now the gore has gone.
I may yet lose the tip but the worry is I nicked the end off the bone which may become infected. The most amazing thing though is, so far, the only painful bit has been the Lignocaine injections :heehee:
-
20-06-2010 #2
Too much information
Hope it heals OK...
-
20-06-2010 #3
-
20-06-2010 #4
If there ever was a time for pics, this is it.
-
20-06-2010 #5
-
20-06-2010 #6
-
20-06-2010 #7
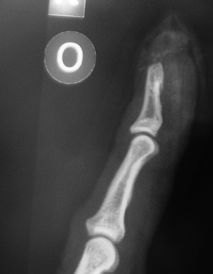
I see from the xray that you swallowed your wedding ring to stop the paramedics pinching it lol
Last edited by Robin Hewitt; 20-06-2010 at 11:37 PM.
-
20-06-2010 #8
you can't beat a bit of gore.
many years ago i helped a "friend" cut a few branches off a very large tree with a massive chainsaw. Despite his renowned stupidy everything went without a hiccup, until we had to cut up the fallen branches, needless to say it was me that ended up with the damage. Somehow he thought it would be better to cut under a branch rather than the top which was away from my hand, and yes you guessed it, he caught the edge of my index finger while i was steadying the branch. If it wasn't for my quick reactions he may well have cut my hand off. As it goes he made a fair mess of my finger, which to be honest doesn't look that bad now.
If there's a moral to this, it's, don't work with morons.
-
20-06-2010 #9
-
20-06-2010 #10
lol, yes took us a long time to work that out... its the zipper on my cycling top... despite being plastic it sems to be opaque to xrays
Thread Information
Users Browsing this Thread
There are currently 1 users browsing this thread. (0 members and 1 guests)



Reply With Quote


Bookmarks